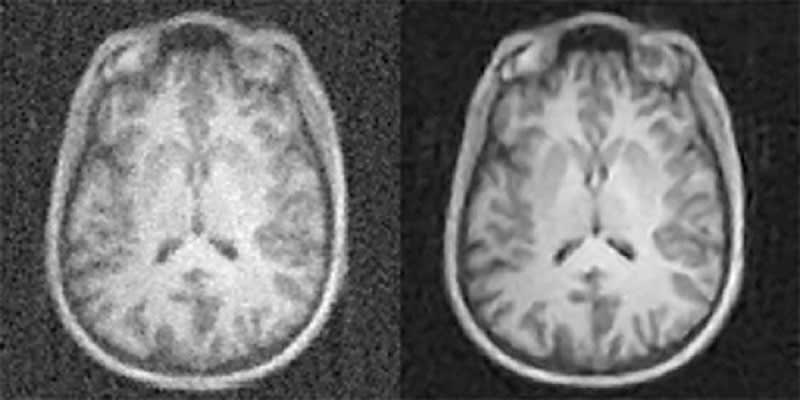
A radiologist's ability to make accurate diagnoses from high-quality diagnostic imaging studies directly impacts patient outcome. However, acquiring sufficient data to generate the best quality imaging comes at a cost – increased radiation dose for computed tomography (CT) and positron emission tomography (PET) or uncomfortably long scan times for magnetic resonance imaging (MRI). Now researchers with the Athinoula A. Martinos Center for Biomedical Imaging at Massachusetts General Hospital (MGH) have addressed this challenge with a new technique based on artificial intelligence (AI) and machine learning, enabling clinicians to acquire higher quality images without having to collect additional data. They call the technique automated transform by manifold approximation or AUTOMAP.
"An essential part of the clinical imaging pipeline is image reconstruction, which transforms the raw data coming off the scanner into images for radiologists to evaluate," says Bo Zhu, Ph.D., a research fellow in the MGH Martinos Center. "The conventional approach to image reconstruction uses a chain of handcrafted signal processing modules that require expert manual parameter tuning and often are unable to handle imperfections of the raw data, such as noise. We introduce a new paradigm in which the correct image reconstruction algorithm is automatically determined by deep learning AI.
"With AUTOMAP, we've taught imaging systems to 'see' the way humans learn to see after birth, not through directly programming the brain but by promoting neural connections to adapt organically through repeated training on real-world examples," Zhu explains. "This approach allows our imaging systems to automatically find the best computational strategies to produce clear, accurate images in a wide variety of imaging scenarios."
The technique represents an important leap forward for biomedical imaging. In developing it, the researchers took advantage of the many strides made in recent years both in the neural network models used for AI and in the graphical processing units (GPUs) that drive the operations, since image reconstruction – particularly in the context of AUTOMAP – requires an immense amount of computation, especially during the training of the algorithms. Another important factor was the availability of large datasets, which are needed to train large neural network models such as AUTOMAP. Because it capitalizes on these and other advances, Zhu says, the technique would not have been possible five years ago or maybe even one year ago.
AUTOMAP offers several potential benefits for clinical care, even beyond producing high-quality images in less time with MRI or with lower doses with X-ray, CT, and PET. Because of its processing speed, the technique could help in making real-time decisions about imaging protocols while the patient is in the scanner.

