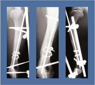
When a dog or cat breaks a bone, veterinarians often mend the fracture with a combination of stabilization devices called intra-medullary (IM) pins and external skeletal fixators (ESFs), a technique that is employed daily across the U.S. Research conducted at the University of Georgia under the direction of Dennis Aron, DVM, using ALGOR finite element analysis software, is helping to establish better guidelines for how these stabilization devices can best be used to promote healing of animal fractures.
Physical trauma often results in the fracture of one or more of the long bones of the limbs. This type of bone consists of a dense cortex layer with a central cavity called the medullary canal, which contains softer tissue. One technique for mending the fractured bone involves inserting an IM pin into the bone. When this technique is used on humans, the medullary canal is hollowed out, or reamed, to achieve a perfectly cylindrical shape matching the diameter of the IM nail. The inserted nail achieves a tight press-fit within the bone, preventing bending, rotation, and translation.

Dog and cat bones cannot be reamed because the cortex of their bones is not as thick as human bones. In addition, their long bones tend not to be as straight as human bones. While IM pins can effectively prevent bending when used on dogs and cats, they frequently are not effective as the only method of stabilizing a fracture because the pins don't achieve a tight fit within the bone.
Veterinarians often combine IM pins with ESFs, which consist of a number of pins that penetrate the bone and exit through the skin to attach to rigid bars on the outside of the body. This device stabilizes the bone as it is healing, while still allowing the animal to maintain use of its limb. Several different brands of ESFs are used, such as Kirschner-Ehmer (KE) and the IMEX SK™ (SK). The variation in the brands of ESF devices involves different types of clamps that affix the pins to the bar, different types of pins that engage the bone, and different materials that comprise the components. Veterinarians must select the number, type, and configuration of ESF pins to provide adequate stabilization.

Current guidelines for ESFs are based on small clinical studies that have looked at the effectiveness of different ESFs, both with and without an IM pin in various fracture scenarios. "Using software technology, such as finite element analysis, allows us to look at a greater number of ESF variations than is practical with clinical or laboratory testing," said Aric Applewhite, DVM, a member of Aron's team.
The finite element model created in ALGOR's Superdraw III consisted of solid and beam elements. Solid brick elements comprise the IM pin, two pieces of bone, and sections of the spongy material of the medullary canal, while the ESF frame is represented by beam elements. Modeling the IM pin in the medullary canal proved to be the most challenging part of the process.
The bone geometry was simplified to a hollow cylinder, the diameter of which was based on measurements of a large-sized dog (about 66 pounds). The geometry was simplified to remove the variables of differences in breeds and different sizes of animals, and therefore, enabled the researchers to concentrate on the ESF and how it behaves in relation to an idealized bone/IM pin structure.
Published material properties for bovine bones, which are similar in strength to dog bones, were applied to the bone parts in the model. The properties of 316L stainless steel were used for the pins. Stainless steel was used to model the KE ESF and a carbon fiber composite was used for SK ESF.
A force was applied at the femoral head to represent the weight of the dog. The model was fully constrained at the bottom of the bone and stabilizing elastic constraints were added to maintain spatial alignment while the model displaced vertically. Linear static stress analyses were performed on all of the models in the study.
In reviewing the analysis results, von Mises stresses at the bone/pin interface and deflections at the gap between the pin and bone were especially important. The first study that compares KE and SK unilateral ESFs with IM pins has been completed. The results were validated with mathematical methods, including convergence and patch testing, and against data from laboratory testing. Comparing other variations in the IM pin/ESF configuration is an ongoing project that will provide veterinarians with improved solutions for treating animal fractures in the future.
This work was performed by the University of Georgia in collaboration with ALGOR, Inc. For more information, contact Julie Halapchuk of ALGOR at 412-967-2700, ext. 3029; e-mail:

