Identifying mental health conditions early is key to better treatment and prevention. As advances in artificial intelligence (AI) are paving the way to innovations in other areas of healthcare, so too are they creating new pathways for studying mental health conditions. Georgia State University’s TReNDS center recently published findings from a study that paired AI modeling with functional magnetic resonance imaging (fMRI) scans that they believe could lead to major advances in early diagnosis of Alzheimer’s disease, schizophrenia, and autism.
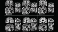
fMRI scans, which measure brain activity through blood flow changes, provide a much more dynamic view than an MRI or other scans, but because of this detailed imaging, they produce a large amount of data that is difficult to interpret. The Georgia State team built an AI modeling program that can interpret the immense amount of fMRI brain scan data. Through its data interpretation, the program was able to discover novel patterns linked with mental health conditions that could help future medical professionals prevent and more easily treat these disorders.
The team also was able to data mine existing fMRI scans in individuals without a known disorder to improve the model’s performance on more specific datasets, and new patterns emerged for each of the mental health conditions. The scientists began with a dataset with more than 10,000 scans, allowing the AI program to understand fMRI imaging and brain function, before using it on more than 1,200 scans of those with Alzheimer’s, autism, and schizophrenia.
Results of the study showed the AI program was able to not only identify early signs of the disorders, but also pinpoint the time at which it was most likely to occur. The study holds impressive implications for identifying markers in patients and predicting risk early enough to offer better and more effective treatments. The study also provides numerous new avenues for research in the same vein that focus on early predictors of other disorders.

