This column presents technologies that have applications in commercial areas, possibly creating the products of tomorrow. To learn more about each technology, see the contact information provided for that innovation.
Battery-Free Cellphone

University of Washington researchers have developed a prototype cellphone that requires no batteries; instead, it harvests the few microwatts of power it requires from either ambient radio signals or light. Skype calls were also made using the phone, demonstrating that the prototype — made of commercial off-the-shelf components — can receive and transmit speech and communicate with a base station. The cellphone takes advantage of tiny vibrations in a phone’s microphone or speaker that occur when a person is talking or listening to a call. An antenna connected to those components converts that motion into changes in standard analog radio signals emitted by a cellular base station. This process encodes speech patterns in reflected radio signals in a way that uses almost no power.
Contact: University of Washington
E-mail: This email address is being protected from spambots. You need JavaScript enabled to view it.
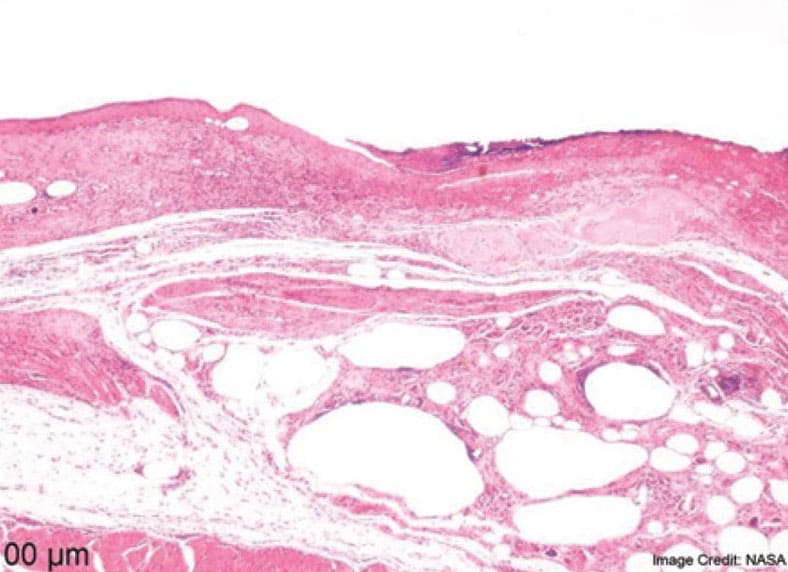
Electroactive Material for Wound Healing

NASA’s Langley Research Center developed a device that uses electrical activity to facilitate the wound healing process while protecting the wound. The bandage is made of an electroactive material that is stimulated by the heat of the body and the pressure of cell growth; thus, no external power source is required. An electroactive device is applied to an external wound site. Low-level electrical stimulation promotes the wound healing process while simultaneously protecting it from infection. The material is fabricated from polyvinylidene fluoride (PVDF), a thermoplastic fluoropolymer that is highly piezoelectric when poled.
Contact: Langley Research Center
Phone: 757-864-1178
E-mail: This email address is being protected from spambots. You need JavaScript enabled to view it.
https://technology.nasa.gov/patent/LAR-TOPS-194
Self-Powered System for Smart Windows

Smart windows equipped with controllable glazing require power for operation, so they are relatively complicated to install in existing buildings. Princeton University researchers developed a different type of smart window: a self-powered version that would be inexpensive and easy to apply to existing windows. This system features solar cells that selectively absorb near-ultraviolet light, making the windows completely self-powered. The smart window is constructed of electrochromic polymers that control the tint and can be operated solely using power produced by the solar cell. When near-UV light from the Sun generates an electrical charge in the solar cell, a reaction in the window causes it to change from clear to dark blue.

